LENTES DE CONTATO DENTAL E FACETAS DE PORCELANA
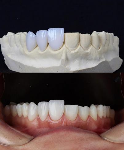
Lente de Contato Dental
Esse tipo de faceta em porcelana exige o mínimo ou nenhum desgaste nos dentes envolvidos.
É muito bem indicada em casos onde o paciente está insatisfeito com o tamanho, cor, forma e posição dos seus dentes.
É muito usado para fechamento de diastemas (espaço entre os dentes), se tornando uma opção ao tratamento ortodôntico.
Em dentes com má formações que resultam em alterações de cor ou manchas, este é um tratamento ponta pelos excelentes resultados estéticos alcançados. Uma grande alternativa em reabilitação onde o paciente apresenta dentes curtos seja por bruxismo (ranger os dentes) ou mesmo desgaste natural.

Facetas de Porcelana
Um dos procedimentos mais avançados na estética bucal atual é o uso das facetas de porcelana, consideradas por muitos profissionais como o avanço científico do século na área de odontologia e estética. Atualmente é o procedimento estético mais procurado por pessoas cujo trabalho está ligado à aparência e muitas vezes o relacionado com a autoestima.
Por que realizar o tratamento?
As facetas de porcelana podem melhorar muito o sorriso de uma pessoa, recuperando também a autoconfiança e autoestima, já que podem clarear os dentes, corrigir a dentição torta e manchada, diminuir a distância entre os dentes, aumentar o tamanho, corrigir curvatura, melhorar o formato, solucionar a aparência do esmalte dental desgastado, entre tantas outras indicações.
A decisão do tratamento com facetas de porcelana depende de alguns fatores:
- da necessidade estética;
- melhora da função mastigatória;
- expectativa do paciente;
- integridade da estrutura dentária remanescente;
- durabilidade.
Como é feito o tratamento?
O procedimento estético bucal começa com fotografias dos dentes, do rosto, do sorriso, radiografias, moldagem para confecção de modelos de estudo, onde as modificações são enceradas permitindo a confecção do mock-up (prévia de como ficarão os dentes), dos provisórios e das facetas propriamente ditas.
O tempo entre o preparo e a colocação das facetas é de uma semana ou duas sessões: uma para preparar os dentes, moldar e fazer os provisórios; outra sessão para a cimentação.
Dr. Anderson Félix © 2022
Clínica Odontológica Especializada em Implantes Dentários em Barreiras - BA
Todos os direitos Reservados. Wdias Designer